インプラント症例紹介
症例 ①

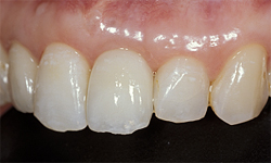
治療前
歯根破折のための痛みと変色を主訴に来院されました。

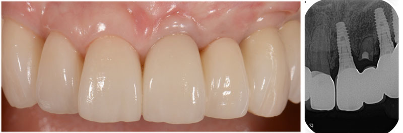
治療後
抜歯後、インプラント治療を行いました。
| 治療内容 | 抜歯+インプラント+骨造成+結合組織移植 |
|---|---|
| 目的 | 前歯の見た目の改善と失った機能の回復 |
| 副作用・リスク | 術後疼痛、歯肉腫脹 |
| 治療期間 | 5か月 |
| 費用(税込) | インプラント:450,000円 骨造成:80,000円 結合組織移植:55,000円 仮歯:33,000円 その他 総計:618,000円~ (費用は範囲、重症度によって異なります) |
症例 ②

治療前
交通事故による歯牙破損のため来院されました。

治療後
両隣の歯を削ることなくインプラント治療を行いました。
| 治療内容 | インプラント+骨造成+結合組織移植 |
|---|---|
| 目的 | 前歯の見た目の改善と失った機能の回復 |
| 副作用・リスク | 術後疼痛、歯肉腫脹 |
| 治療期間 | 5か月 |
| 費用(税込) | インプラント:450,000円 骨造成:80,000円 結合組織移植:55,000円 仮歯:33,000円 その他 総計:618,000円~ (費用は範囲、重症度によって異なります) |
症例 ③

治療前
生まれつきの欠損のため審美的な改善を主訴に来院されました。

治療後
両隣の歯に負担をかけることなくインプラント治療を行いました。
| 治療内容 | インプラント+骨造成+結合組織移植 |
|---|---|
| 目的 | 前歯の見た目の改善と失った機能の回復 |
| 副作用・リスク | 術後疼痛、歯肉腫脹 |
| 治療期間 | 6か月 |
| 費用(税込) | インプラント:450,000円 骨造成:80,000円 結合組織移植:55,000円 仮歯:33,000円 その他 総計:618,000円~ (費用は範囲、重症度によって異なります) |
症例 ④

治療前
歯根破折による痛みと歯ぐきの黒ずみを主訴に来院されました。

治療後
歯ぐきに迷入した金属の切削片を除去し、インプラントを埋入しました。
| 治療内容 | 抜歯+インプラント+骨造成+結合組織移植 |
|---|---|
| 目的 | 前歯の見た目の改善と失った機能の回復 |
| 副作用・リスク | 術後疼痛、歯肉腫脹 |
| 治療期間 | 6か月 |
| 費用(税込) | インプラント:450,000円 骨造成:80,000円 結合組織移植:55,000円 仮歯:33,000円 その他 総計:618,000円~ (費用は範囲、重症度によって異なります) |
症例 ⑤

治療前
上顎の入れ歯が不都合との主訴で来院されました。

治療後
上顎すべてにインプラント治療を行い、機能的にも審美的にも改善しました。
| 治療内容 | インプラント+骨造成+結合組織移植 |
|---|---|
| 目的 | 前歯の見た目の改善と失った機能の回復 |
| 副作用・リスク | 術後疼痛、歯肉腫脹 |
| 治療期間 | 1年6か月 |
| 費用(税込) | ボーンアンカードブリッジ:3,300,000円 骨造成:150,000円x3か所 結合組織移植:130,000円x2か所 仮歯:230,000円 総計:4,240,000円 (※費用は範囲によって異なります) |
症例 ⑥

治療前
上下すべての歯が保存不可能と他院で言われ、入れ歯を入れたくないとのことで来院されました。

治療後
上下にインプラント治療を行いました。
| 治療内容 | インプラント+骨造成+結合組織移植 |
|---|---|
| 目的 | 噛み合わせの回復と見た目の改善 |
| 副作用・リスク | 術後疼痛、歯肉腫脹 |
| 治療期間 | 3年 |
| 費用(税込) | 医院に直接お尋ね下さい(※費用は範囲によって異なります) |
症例 ⑦

治療前
下顎の奥歯がぐらぐらで、食事がとりづらいと来院されました。

治療後
インプラント治療を行い噛み合わせが回復しました。
| 治療内容 | インプラント4本+骨造成+結合組織移植+遊離歯肉移植 |
|---|---|
| 目的 | 失った奥歯の見た目と機能の回復 |
| 副作用・リスク | 術後疼痛、歯肉腫脹、内出血 |
| 治療期間 | 約1年8か月 |
| 費用(税込) | インプラント:450,000円x4本 ポンティック部:170,000円x2本 骨造成:150,000円×2か所 仮歯:15,000円x6本 その他 総計:2,530,000円~ (費用は範囲、重症度によって異なります) |
症例 ⑧

重度の歯周病(歯の動揺・歯肉の度重なる腫脹)を主訴に来院されました。
右側の3本の前歯は、保存可能と診断・左側の3本の歯は抜歯と診断しました。

初診時の左3本の状態、歯が歯周病に罹患し骨・歯茎も喪失しています。

自家骨を移植しました。

およそ半年後にインプラントを2本埋入しました。

同時に歯茎の移植も併用しました。

治療終了3年後の状態
右側天然歯3本はジルコニア陶材冠を装着、左側3本はインプラント2本を埋入し、ブリッジ(3本のジルコニア陶材冠)を装着しました。
| 治療内容 | インプラント+骨造成+結合組織移植 |
|---|---|
| 目的 | 前歯の見た目の改善と失った機能の回復 |
| 副作用・リスク | インプラント骨結合の有無・骨造成の限定的結果・術後疼痛・歯肉腫脹 |
| 治療期間 | 1年6か月 |
| 費用(税込) | 右側ジルコニア陶材冠:186,000円×3本 仮歯:15,000円×3本 左側インプラント:450,000円x2本 ポンティック部:170,000円×1本 骨造成:80,000円×2か所 結合組織移植:55,000円×2か所 仮歯:33,000円x3本 その他 総計:2,042,000円~ (費用は範囲、重症度によって異なります) |
症例 ⑨

右側の真ん中から2番目の歯の被せ物の動揺を主訴に来院されました。
残念ながら歯根破折のため抜歯と診断しました。

抜歯と同時にインプラントを埋入しました。

骨補填材充填し、吸収性膜で保護しました。

歯肉移植も併用しました。

その後縫合しました。

隣の歯の根も破折していたため抜歯と診断しました。

破折部分を骨より上に引っぱりだすため、矯正治療を行いました。

歯根を口蓋(裏側)部分のみを抜去しました。

その後直ちにインプラントを埋入しました。

治療終了3年後の状態
段階的にインプラントを2本埋入し、被せ物(ジルコニア陶材冠)を装着しました。
| 治療内容 | インプラント+骨造成+結合組織移植 |
|---|---|
| 目的 | 前歯の見た目の改善と失った機能の回復 |
| 副作用・リスク | インプラント骨結合の有無・骨造成の限定的結果・術後疼痛・歯肉腫脹 |
| 治療期間 | 1年6か月 |
| 費用(税込) | インプラント:450,000円x2本 骨造成:80,000円×2か所 結合組織移植:55,000円×2か所 仮歯:33,000円x2本 その他 総計:1,236,000円~ (費用は範囲、重症度によって異なります) |
症例 ⑩


前歯が交通事故で欠損、歯科医院より紹介で来院されました。
インプラント治療を希望されましたが、インプラントを埋入するには骨の幅・高さともに不足していました。

インプラントを埋入するための骨造成を行いました。

9か月後、十分な骨が再生されました。


審美的な上部構造(被せもの)を入れるためには、段階的に骨造成を行う必要がありました。


さらに6か月後、審美的な結果となる十分な骨が造成されました。


患者さまが満足できる自然感のある審美的な上部構造(被せ物)を装着できました。
| 治療内容 | インプラント+骨造成+結合組織移植 |
|---|---|
| 目的 | 前歯の見た目の改善と失った機能の回復 |
| 副作用・リスク | インプラント骨結合の有無・骨造成の限定的結果・術後疼痛・歯肉腫脹 |
| 治療期間 | 2年2か月 |
| 費用(税込) | インプラント:450,000円x3本 骨造成:80,000円×3か所 結合組織移植:55,000円x3か所 仮歯:33,000円x3本 ジルコニア陶材冠:186,000円x2本 仮歯:15,000円×2本 その他 総計:2,256,000円~ (費用は範囲、重症度によって異なります) |
症例 ⑪

術前
保存不可能とのことで他院からの紹介で来院されました。
内部吸収(内側から歯根が溶けている)が起こり保存が難しいと判断しました。

術後
インプラント治療によって審美・機能が回復しました。
| 治療内容 | インプラント埋入+骨造成+結合組織移植 |
|---|---|
| 目的 | 見た目の回復と機能の回復 |
| 副作用・リスク | インプラント骨結合の有無・骨造成の限定的結果・術後疼痛・腫脹 |
| 治療期間 | 9か月~1年 |
| 費用(税込) | インプラント:450,000円 骨造成:80,000円 結合組織移植:55,000円 仮歯:33,000円 その他 総計:618,000円~ |
症例 ⑫

術前
骨内に至る虫歯でのぐらつきと、見た目の改善を目的に来院されました。

術後
インプラント治療によって審美・機能が回復しました。
| 治療内容 | インプラント埋入+骨造成+軟組織造成 |
|---|---|
| 目的 | 見た目の回復と機能の回復 |
| 副作用・リスク | インプラント骨結合の有無・骨造成の限定的結果・術後疼痛・腫脹 |
| 治療期間 | 9か月~1年 |
| 費用(税込) | インプラント:450,000円 骨造成:80,000円 結合組織移植:55,000円 仮歯:33,000円 その他 総計:618,000円~ |
症例 ⑬

術前
被せ物が外れたとのことで来院されました。
被せ物を持ってきて頂きましたが、大きな虫歯になっていました。
永続性を希望されたためインプラント治療を開始しました。

術後
インプラント治療によって審美・機能が回復しました。
| 治療内容 | インプラント埋入+骨造成+結合組織移植 |
|---|---|
| 目的 | 見た目の回復と機能の回復 |
| 副作用・リスク | インプラント骨結合の有無・骨造成の限定的結果・術後疼痛・腫脹 |
| 治療期間 | 9か月~1年 |
| 費用(税込) | インプラント:450,000円 骨造成:80,000円 結合組織移植:55,000円 仮歯:33,000円 その他 総計:618,000円~ |
症例 ⑭

術前
全体的に歯がぐらついて噛めず、見た目や口臭も気にされて来院されました。
歯周病が重度に進行しています。

術後
インプラントを含めた歯周治療により、審美・機能が回復しました。
時間はかかりましたが今では毎日楽しく食事が出来るとのことです。
| 治療内容 | インプラント埋入+骨造成+サイナスリフト+結合組織移植 |
|---|---|
| 目的 | 見た目の回復と機能の回復 |
| 副作用・リスク | インプラント骨結合の有無・骨造成の限定的結果・術後疼痛・腫脹 |
| 治療期間 | 2~3年 |
| 費用(税込) | インプラント:450,000円×12本 骨造成:150,000円~×4か所 サイナスリフト:195,000円×2か所 結合組織移植:130,000円×2か所 ジルコニア陶材冠:186,000円×4本 仮歯:15,000円×17本 その他 総計:7,649,000円~ |
症例 ⑮

術前
前歯の被せ物がぐらつくとのことで来院されました。
被せ物の中は大きな虫歯で歯が残っていない状態です。

術後
インプラント治療によって審美・機能が回復しました。
| 治療内容 | インプラント埋入+骨造成+サイナスリフト+結合組織移植 |
|---|---|
| 目的 | 見た目の回復と機能の回復 |
| 副作用・リスク | インプラント骨結合の有無・骨造成の限定的結果・術後疼痛・腫脹 |
| 治療期間 | 約2年 |
| 費用(税込) | インプラント:450,000円×8本 骨造成:150,000円×4か所 サイナスリフト:195,000円×1か所 結合組織移植:130,000円×2か所 ジルコニア陶材冠:186,000円×9本 仮歯:15,000円×17本 その他 総計:6,584,000円~ |
症例 ⑯

術前
全体的に歯がぐらつき噛めず、見た目も気にされて来院されました。
歯周病の進行、他院でのインプラントの失敗など様々な問題があります。

術後
インプラント治療によって審美・機能が回復しました。
| 治療内容 | インプラント埋入+骨造成+サイナスリフト+結合組織移植 |
|---|---|
| 目的 | 見た目の回復と機能の回復 |
| 副作用・リスク | インプラント骨結合の有無・骨造成の限定的結果・術後疼痛・腫脹 |
| 治療期間 | 2~2年6か月 |
| 費用(税込) | 【上顎】 ボーンアンカードブリッジ:3,300,000円 骨造成:150,000円×3か所 サイナスリフト:195,000円×1か所 結合組織移植:130,000円×1か所 仮歯:230,000円 【下顎】 インプラント:450,000円×3本 骨造成:80,000円~2か所 仮歯:15,000円×8本 ジルコニア陶材冠:163,000円×5本 その他 部分矯正:80,000円×1か所 総計:6,830,000円~ |
症例 ⑰

術前
歯周病の進行で歯がぐらつき、噛めないとのことで来院されました。
治癒が見込めない歯を抜歯して入れ歯を作成しましたが使えないとのことでした。

術後
歯周病治療、インプラント治療によって審美・機能が回復しました。
| 治療内容 | インプラント埋入+骨造成+結合組織移植 |
|---|---|
| 目的 | 見た目の回復と機能の回復 |
| 副作用・リスク | インプラント骨結合の有無・骨造成の限定的結果・術後疼痛・腫脹 |
| 治療期間 | 約2年 |
| 費用(税込) | インプラント:450,000円×6本 骨造成(下):80,000円×2か所 骨造成(上):150,000円×2か所 結合組織移植:55,000円×2か所 部分矯正:80,000円×1か所 ジルコニア陶材冠:186,000円×9本 仮歯:15,000円×15本 その他 総計:5,249,000円~ |
症例 ⑱

術前
歯がぐらついて噛めないとのことで来院されました。
歯周病が重度に進行し、入れ歯は避けられない状態でした。

術後
ご本人の強いご希望により元の歯のように自然な口元と、何でもおいしく食べれるように回復してほしい、また入歯は絶対に入れたくないとのことでインプラント治療によって審美・機能が回復しました。
| 治療内容 | インプラント埋入+骨造成+サイナスリフト+結合組織移植 |
|---|---|
| 目的 | 見た目の回復と機能の回復 |
| 副作用・リスク | インプラント骨結合の有無・骨造成の限定的結果・術後疼痛・腫脹 |
| 治療期間 | 約3年 |
| 費用(税込) | インプラント:450,000円×15本 骨造成:150,000円~6か所 結合組織移植:130,000円×2か所 ポンティック:170,000円×9本 仮歯(前):33,000円×6本 仮歯(奥):15,000円×18本 総計:9,908,000円 |
症例 ⑲

術前
上の入れ歯が外れて噛みにくいとのことで来院されました。

術後
インプラント治療によって審美・機能が回復しました。
上の入れ歯はインプラントを支えにすることにより、外れにくく強く噛めます。
| 治療内容 | インプラント埋入+骨造成術+結合組織移植 |
|---|---|
| 目的 | 見た目の回復と機能の回復 |
| 副作用・リスク | インプラント骨結合の有無・骨造成の限定的結果・術後疼痛・腫脹 |
| 治療期間 | 2年 |
| 費用(税込) | 【上顎】 ロケーターインプラント:350,000円×4本 ロケーター義歯:500,000円 治療用義歯:120,000円 メタルティース:30,000円×6本 【下顎】 インプラント:450,000円×4本 骨造成:150,000円×2か所 ジルコニア陶材冠:163,000円×10本 仮歯:15,000円×10本 その他 総計:6,080,000円~ |
症例 ⑳

術前
入れ歯ではよく噛めないとのことで来院されました。残された歯も歯周病の進行がみられます。

術後
インプラントを土台にした入れ歯により、通常の入れ歯より外れにくく強く噛めるようになりました。
| 治療内容 | インプラント埋入+骨造成術 |
|---|---|
| 目的 | 見た目の回復と機能の回復 |
| 副作用・リスク | インプラント骨結合の有無・骨造成の限定的結果・術後疼痛・腫脹 |
| 治療期間 | 2年 |
| 費用(税込) | ロケーターインプラント:350,000円×8本 ロケーター義歯:500,000円×2か所 治療用義歯:120,000円×2か所 メタルティース:30,000円×6本 ホワイトティース:40,000円×6本 その他 総計:4,460,000円~ |
症例 ⑴

階段で転んでしまい前歯が抜けたことで他院から紹介にて来院されました。
幸いにして骨は保たれています。
フラップレス(歯茎を切らずに)でしっかりと骨にインプラントを埋入することが出来たためその日に仮歯まで装着しました。


インプラントの埋入から3か月後、インプラントと骨がしっかり結合していることを確認し、最終的な被せものを装着しました。
| 治療内容 | インプラント+骨造成+結合組織移植 |
|---|---|
| 目的 | 前歯の見た目の改善と失った機能の回復 |
| 副作用・リスク | 術後疼痛、歯肉腫脹 |
| 治療期間 | 6か月 |
| 費用(税込) | インプラント:450,000円 骨造成:80,000円 結合組織移植:55,000円 仮歯:33,000円 その他 総計:618,000円~ (費用は範囲、重症度によって異なります。) |
診療時間
| 月 | 火 | 水 | 木 | 金 | 土 | 日祝 | |
|---|---|---|---|---|---|---|---|
| 午前 | 休 | 休 | |||||
| 午後 | 休 | 〜17:00 | 休 |
9:00〜13:00 / 14:00〜18:00
(土曜は17:00までの診療)
休診日 木曜・日曜・祝日
電話番号
治療に関するご不安・ご質問など、なぎさ歯科クリニックまでお気軽にお問い合わせください。
お支払いについて
自由診療(メンテナンス代は除く)のみ1万円以上でクレジットカードも使えます。(VISA・JCB・Master)
所在地
〒920-0031 石川県金沢市広岡2-10-6
金沢駅西口より徒歩約8分
金沢駅西口から500m過ぎ、道路沿いに2つ目の交差点(広岡西)を左折。
200m過ぎ左手に医院があります。
※ 駐車場12台完備

