抜歯即時インプラント症例
歯科医院から抜歯せざるを得ないと言われて、
インプラントをお考えになられている患者様へ
抜歯をすると骨・歯茎も喪失してしまい骨造成・歯肉移植が必要になる場合が往々にしてあります。
そうなると抜歯・インプラント埋入・歯肉移植と3回の外科処置が必要となり、期間も1年近くかかる場合があります。
当医院では抜歯からインプラント埋入を1日で行う抜歯即時インプラントができます。
1回の治療で外科処置が終わるため、骨・歯茎を温存でき、治療期間も短縮できるメリットがあります。
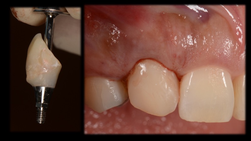
症例 ①

歯が割れて痛みがあり、他医院で抜歯と言われインプラント検討のため来院されました。

抜歯を行い当日にインプラントを入れます。

仮歯を入れます。

インプラント埋入1週間後の様子です。

4か月後、型取りをし最終の歯を入れます。
| 目的 | 見た目の改善と失った機能の回復 |
|---|---|
| 副作用・リスク | インプラント骨結合の有無・骨造成の限定的結果・術後疼痛・歯肉腫脹 |
| 治療期間(回数) | 4か月 |
| 費用(税込) | インプラント:450,000円 骨移植材:65,000円 仮歯:15,000円 その他 総計:530,000円~ (費用は範囲、重症度によって異なります) |
症例 ②

ブリッジしている歯が割れたため来院されました。

抜歯を行い2本のインプラントを埋入します。
骨が不足しているところに骨補填材をいれ、当日仮歯を入れます。

外科処置1週間後の様子です。(上2枚)
4か月後に型とりし、最終の歯を入れます。(下2枚)
| 目的 | 見た目の改善と失った機能の回復 |
|---|---|
| 副作用・リスク | インプラント骨結合の有無・骨造成の限定的結果・術後疼痛・歯肉腫脹 |
| 治療期間(回数) | 4か月 |
| 費用(税込) | インプラント:450,000円×2本 骨造成:80,000円 仮歯:15,000円×2本 その他 総計:1,010,000円~ (費用は範囲、重症度によって異なります) |
症例 ③

外部吸収で抜歯と診断され、セカンドオピニオンで当院を受診されました。

抜歯即時でインプラントを埋入します。

仮歯を即日に入れます。

1週間後、痛みや腫れはありません。

4か月後に型取りを行い、最終の歯を装着します。
| 目的 | 見た目の改善と失った機能の回復 |
|---|---|
| 副作用・リスク | インプラント骨結合の有無・骨造成の限定的結果・術後疼痛・歯肉腫脹 |
| 治療期間(回数) | 4か月 |
| 費用(税込) | インプラント:450,000円 骨移植材:30,000円 結合組織移植:55,000円 その他 総計:535,000円~ (費用は範囲、重症度によって異なります) |
診療時間
| 月 | 火 | 水 | 木 | 金 | 土 | 日祝 | |
|---|---|---|---|---|---|---|---|
| 午前 | 休 | 休 | |||||
| 午後 | 休 | 〜17:00 | 休 |
9:00〜13:00 / 14:00〜18:00
(土曜は17:00までの診療)
休診日 木曜・日曜・祝日
電話番号
治療に関するご不安・ご質問など、なぎさ歯科クリニックまでお気軽にお問い合わせください。
お支払いについて
自由診療(メンテナンス代は除く)のみ1万円以上でクレジットカードも使えます。(VISA・JCB・Master)
所在地
〒920-0031 石川県金沢市広岡2-10-6
金沢駅西口より徒歩約8分
金沢駅西口から500m過ぎ、道路沿いに2つ目の交差点(広岡西)を左折。
200m過ぎ左手に医院があります。
※ 駐車場12台完備

