セレック
短期間で歯を修復できるセレック
ドイツ製のセレックは歯科用CAD/CAMとしては最も歴史があり、直接お口の中を特殊なカメラで撮影し、短期間で歯を修復することが可能な歯科医療機器です。
何度も通院していただかなくても済みますし、従来の治療より速く、丈夫で、美しく、コスト的に安価で金属アレルギーの患者様にとってもメリットが多いのがセレックです。
セレックを使用した症例
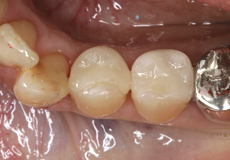
症例 ①

治療前

治療後
| 治療内容 | セレックインレー |
|---|---|
| 目的 | 修復物の作成と色調改善 |
| 副作用・リスク | 修復物の脱離、破損 |
| 回数 | 2回 |
| 費用(税込) | セレックインレー:50,000円 |
症例 ②
銀歯の下が虫歯になっていたため除去し、セレック修復を行いました。
強固な接着力が得られるよう、当院ではラバーダム防湿を行って装着しております。
| 治療内容 | セレックインレー |
|---|---|
| 目的 | 修復物の作成と色調改善 |
| 副作用・リスク | 修復物の脱離、破損 |
| 回数 | 1回 |
| 費用(税込) | セレックインレー:50,000円 |
症例 ③
銀歯が脱離し、放置していたため虫歯になっていました。
セレック修復とダイレクトボンディングを行いました。
強固な接着力が得られるよう、当院ではラバーダム防湿を行って装着しております。
| 治療内容 | セレックインレー、ダイレクトボンディング |
|---|---|
| 目的 | 修復物の作成と色調改善 |
| 副作用・リスク | 修復物の脱離、破損 |
| 回数 | 2回 |
| 費用(税込) | セレックインレー:50,000円x2本 ダイレクトボンディング:50,000円 |
症例 ④

治療前

治療後
| 治療内容 | セレックアンレー |
|---|---|
| 目的 | 修復物の作成と色調改善 |
| 副作用・リスク | 修復物の脱離、破損 |
| 回数 | 2回 |
| 費用(税込) | セレックアンレー:83,000円x2本 |
症例 ⑤
術前
術後
銀歯の下で虫歯になっていたので古い金属を除去し、セレック修復を行いました。
| 治療内容 | セレックアンレー |
|---|---|
| 目的 | 修復物の作成と色調改善 |
| 副作用・リスク | 修復物の脱離、破損 |
| 回数 | 2回 |
| 費用(税込) | セレックアンレー:83,000円 |
診療時間
| 月 | 火 | 水 | 木 | 金 | 土 | 日祝 | |
|---|---|---|---|---|---|---|---|
| 午前 | 休 | 休 | |||||
| 午後 | 休 | 〜17:00 | 休 |
9:00〜13:00 / 14:00〜18:00
(土曜は17:00までの診療)
休診日 木曜・日曜・祝日
電話番号
治療に関するご不安・ご質問など、なぎさ歯科クリニックまでお気軽にお問い合わせください。
お支払いについて
自由診療(メンテナンス代は除く)のみ1万円以上でクレジットカードも使えます。(VISA・JCB・Master)
所在地
〒920-0031 石川県金沢市広岡2-10-6
金沢駅西口より徒歩約8分
金沢駅西口から500m過ぎ、道路沿いに2つ目の交差点(広岡西)を左折。
200m過ぎ左手に医院があります。
※ 駐車場12台完備

