歯周形成外科
美しい歯の維持は健康な歯ぐきから
ジルコニア陶材冠でできた被せ物をする事により、美しい歯に修復する事ができます。
ただし、美しい歯を維持するためには、歯の周りの歯ぐきが健康である事が大切なのです。
数年前に被せた歯なのに、歯と被せ物のつなぎ目が見えてきたという事はないでしょうか。
なぎさ歯科クリニックでは、歯の周りの歯ぐきを丈夫にする治療を行う事により、美しい歯を維持する事に努めています。
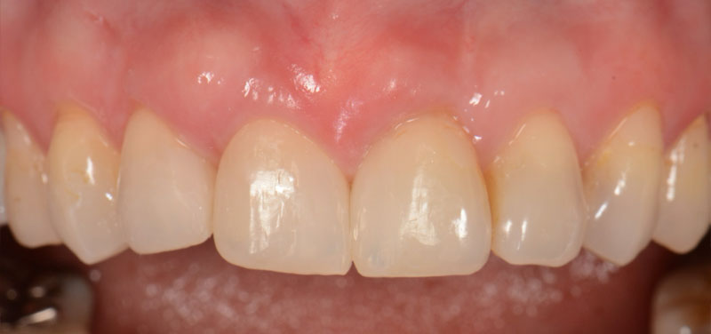
症例①

治療前
歯頚ラインを合わせるため、歯ぐきの移植を行います。

治療後
根面被覆をエムドゲインを併用し、結合組織移植術を行いました。
| 治療内容 | 結合組織移植術+ホワイトニング |
|---|---|
| 目的 | 前歯の変色の改善と歯肉の形態の改善 |
| 副作用・リスク | 術後疼痛、知覚過敏、前歯色調の後戻り |
| 治療期間 | 8か月 |
| 費用(税込) | 結合組織移植:130,000円、ホワイトニング上下:40,000円 (費用は範囲・重症度によって異なります) |
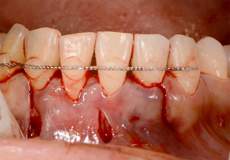
症例②

治療前
生まれつき弱い歯ぐきと、ブラッシングが強いことにより、歯ぐきが退縮しています。

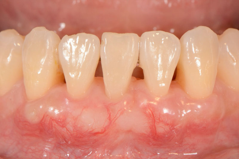
治療後
歯ぐきの移植を行うことによって、丈夫な歯ぐきになりました。
| 治療内容 | 結合組織移植術 |
|---|---|
| 目的 | 前歯歯肉退縮の改善 |
| 副作用・リスク | 術後疼痛、知覚過敏、歯肉形態の後戻り |
| 治療期間 | 6か月 |
| 費用(税込) | 結合組織移植:55,000円〜 (費用は範囲・重症度によって異なります) |
歯肉形成術(ガミースマイルの改善)
ガミースマイルとは、笑った時に、上の歯の歯茎が多く見えてしまう状態を意味します。
原因としては、生まれつきの歯の萌出(はえてくること)不全や矯正により起こることがあります。このような場合、1回の外科処置で歯茎と歯槽骨を切除することにより改善出来ます。
(痛みや結果には個人差があります。)
症例①


矯正治療終了後、笑った時に歯茎が多く見えるのが気になり治療を希望されました。

歯と歯茎が本来の正しい位置まで歯肉を切除し、わずかに歯槽骨を削ります。
その後縫合し、終了となります。


歯と歯茎を適切な関係にすることによって、自然な口元になりました。
| 治療内容 | 歯肉形成術 |
|---|---|
| 目的 | 口元の印象の改善 |
| 副作用・リスク | 術後疼痛、知覚過敏 |
| 治療期間 | 6か月 |
| 費用(税込) | 200,000円~ |
歯間乳頭再建術
歯茎が何らかの原因でやせてしまい、前歯の審美的障害や発語の問題を引き起こすことがあります。
このような場合、骨移植材を併用した歯茎の移植を行います。
症例①

アナウンサーの仕事をしており息が漏れる、見栄えが気になるとのことで来院されました。






1回の外科処置で、成長因子を注入した歯茎を移植することによって、正中(真ん中)の歯茎を再生させることができました。
また2番目との間の歯茎も再生できましたが、元々隙間があったため、レジン修復(歯と同じプラスチック製のセメント)で隙間を封鎖しました。
| 治療内容 | 歯間乳頭再建術 |
|---|---|
| 目的 | 口元の印象の改善 |
| 副作用・リスク | 術後疼痛、知覚過敏、前歯色調の後戻り |
| 治療期間 | 6か月 |
| 費用(税込) | 90,000円~ |
症例②

歯周病で歯茎がやせたことにより、見た目が気になり来院されました。






1回の外科処置で成長因子を浸漬した骨移植材と歯茎を移植しました。
十分な歯茎を再生させることが出来ました。
| 治療内容 | 歯間乳頭再建術 |
|---|---|
| 目的 | 口元の印象の改善 |
| 副作用・リスク | 術後疼痛、知覚過敏 |
| 治療期間 | 6か月 |
| 費用(税込) | 90,000円~ |
症例③
下顎前歯の叢生の(歯が前後に重なっている)矯正治療で歯並びはきれいになった後に結果として起きてしまうのが、歯間乳頭が喪失することです。
このような場合、歯茎の再生治療が有効です。




矯正治療後、下顎前歯の歯間乳頭が喪失しています。歯周病の影響で歯茎がやせてしまい、治療を希望されました。
このような場合、舌側(裏側)と唇側(表側)に同様の処置を約3か月の間隔をあけて、成長因子を浸漬した骨移植材と歯茎の移植を行うことが出来ます。







6か月後
6か月後歯茎は再生され、歯としっかり付着しています。




| 治療内容 | 歯間乳頭再建術 |
|---|---|
| 目的 | 口元の印象の改善 |
| 副作用・リスク | 術後疼痛、知覚過敏 |
| 治療期間 | 6か月 |
| 費用(税込) | 90,000円~ |
診療時間
| 月 | 火 | 水 | 木 | 金 | 土 | 日祝 | |
|---|---|---|---|---|---|---|---|
| 午前 | 休 | 休 | |||||
| 午後 | 休 | 〜17:00 | 休 |
9:00〜13:00 / 14:00〜18:00
(土曜は17:00までの診療)
休診日 木曜・日曜・祝日
電話番号
治療に関するご不安・ご質問など、なぎさ歯科クリニックまでお気軽にお問い合わせください。
お支払いについて
自由診療(メンテナンス代は除く)のみ1万円以上でクレジットカードも使えます。(VISA・JCB・Master)
所在地
〒920-0031 石川県金沢市広岡2-10-6
金沢駅西口より徒歩約8分
金沢駅西口から500m過ぎ、道路沿いに2つ目の交差点(広岡西)を左折。
200m過ぎ左手に医院があります。
※ 駐車場12台完備

