審美
ジルコニア陶材冠
ジルコニア陶材冠を使用した審美修復治療では、より透明感のある自然感あふれる歯にすることが可能です。
生体親和性が高く、金属アレルギーの人や歯肉の色が黒ずみやすい方にもおすすめです。
その他にも変色しにくい、虫歯になりにくいなどのメリットもあります。
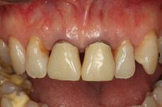
症例①

治療前
過食症により歯が溶けていました。

治療後
歯ぐきの形成外科を行い被せ物を装着し、自然な形を再現しました。
| 治療内容 | 歯周形成外科+ジルコニア陶材冠6本 |
|---|---|
| 目的 | 前歯の見た目の改善と口元の印象の改善 |
| 副作用・リスク | 術後疼痛、知覚過敏 |
| 治療期間 | 8か月 |
| 費用(税込) | ジルコニア陶材冠:186,000円x6本 歯周形成外科:30,000円x6本 仮歯:15,000円x6本 総計:1,386,000円 (費用は範囲・被せ物の種類によって異なります) |
症例②

治療前
見た目が気になり来院されました

治療後
前歯を2本修復しました
周りの歯と同調し、自然な仕上がりになりました
| 治療内容 | 歯周形成外科+ジルコニア陶材冠2本 |
|---|---|
| 目的 | 前歯の見た目の改善と口元の印象の改善 |
| 副作用・リスク | 術後疼痛、知覚過敏 |
| 治療期間 | 2か月 |
| 費用(税込) | ジルコニア陶材冠:186,000円x2本 仮歯:15,000円x2本 総計:402,000円 (費用は範囲・被せ物の種類によって異なります) |
症例③

治療前
見た目が気になり来院されました

治療後
前歯を2本修復しました
周りの歯と同調し、自然な仕上がりになりました
| 治療内容 | 歯周形成外科+ジルコニア陶材冠2本 |
|---|---|
| 目的 | 前歯の見た目の改善と口元の印象の改善 |
| 副作用・リスク | 術後疼痛、知覚過敏 |
| 治療期間 | 2か月 |
| 費用(税込) | ジルコニア陶材冠:186,000円x2本 仮歯:15,000円x2本 総計:402,000円 (費用は範囲・被せ物の種類によって異なります) |
症例④

治療前
見た目が気になり来院されました。
歯ぐきが痩せ、被せ物の縁が見え始めています。

治療後
歯ぐきの移植と前歯を3本修復しました。
周りの歯と同調し自然な仕上がりになりました。
| 治療内容 | 結合組織移植+ジルコニア陶材冠3本 |
|---|---|
| 目的 | 前歯の見た目の改善と口元の印象の改善 |
| 副作用・リスク | 術後疼痛、知覚過敏 |
| 治療期間 | 4か月 |
| 費用(税込) | ジルコニア陶材冠:186,000円x3本 結合組織移植:55,000円×3か所 仮歯:15,000円x3本 総計:768,000円 (費用は範囲・被せ物の種類によって異なります) |
ブリッジ
ブリッジとは、失った歯の左右に生えている健康な歯を支柱とし、「橋」をかけるようにして人工の歯を入れる治療法です。
ブリッジ適用時には両隣の歯を削らなければならず、土台とする歯へ負担がかかることがあります。
しかし、入れ歯よりもしっかりと噛むことができ、保険適用で治療を受けることが可能です。
また、金属のバネがないため、入れ歯よりも装着時の異物感が軽減され見た目も自然です。
症例①

治療前
上顎前歯部が笑うと唇より突出してしまうため、来院されました。

治療後
ジルコニア陶材冠を用いた補綴物にて、自然な仕上がりになりました。
| 治療内容 | 抜歯+歯周形成外科+ジルコニア陶材冠5本 |
|---|---|
| 目的 | 前歯の見た目の改善と口元の印象の改善 |
| 副作用・リスク | 術後疼痛、知覚過敏 |
| 治療期間 | 8か月 |
| 費用(税込) | ジルコニア陶材冠:186,000円x5本 歯周形成外科:30,000円x5本 仮歯:15,000円x6本 総計:1,155,000円 (費用は範囲・被せ物の種類によって異なります) |
症例②

術前
見た目が気になり来院されました。
右上の前歯は抜けてダミーが装着されています。

術後
どの歯を治療したか分からないくらい自然な仕上がりになりました。
| 治療内容 | 抜歯+結合組織移植+ジルコニア陶材冠3本 |
|---|---|
| 目的 | 前歯の見た目の改善と口元の印象の改善 |
| 副作用・リスク | 術後疼痛、知覚過敏 |
| 治療期間 | 3か月 |
| 費用(税込) | ジルコニア陶材冠:186,000円x3本 結合組織移植:55,000円×1か所 仮歯:15,000円x3本 総計:658,000円 (費用は範囲・被せ物の種類によって異なります) |
症例③

術前
見た目が気になり来院されました。
右上の前歯は抜けて仮の歯が装着されています。

術後
前歯を5本をジルコニア陶材冠ブリッジで治療しました。
自然な口元になりました。
| 治療内容 | 抜歯+結合組織移植+ジルコニア陶材冠5本 |
|---|---|
| 目的 | 前歯の見た目の改善と口元の印象の改善 |
| 副作用・リスク | 術後疼痛、知覚過敏 |
| 治療期間 | 3か月 |
| 費用(税込) | ジルコニア陶材冠:186,000円x5本 結合組織移植:55,000円x1か所 仮歯:15,000円x3本 総計:1,060,000円 (費用は範囲・被せ物の種類によって異なります) |
ラミネートベニア
前歯のすき間や歯の色が気になる方に、ラミネート治療があります。
歯の表面のみを薄く削り、薄く白いセラミックを貼り付ける事によって、きれいな歯に修復します。
症例①

治療前
歯並びと歯の色が気になり来院されました。

治療後
矯正をした後、ラミネートベニアで自然な色を再現しました。
| 治療内容 | ラミネートべニア修復6本、部分矯正×6本 |
|---|---|
| 目的 | 前歯の変色と歯列不正の改善 |
| 副作用・リスク | 術後疼痛、知覚過敏、歯列不正の後戻り |
| 治療期間 | 10か月 |
| 費用(税込) | ラミネートベニア修復:163,000円x6本 部分矯正:130,000円 仮歯:15,000円x6本 総計:1,198,000円 (費用は範囲・被せ物の種類によって異なります) |
ダイレクトボンディング
症例①

術前
矯正医より矯正後の審美回復依頼を受けました。

術後
大きく歯を削らないダイレクトボンディングという手法で2本治療しました。
バランスのとれた口元になりました。
| 治療内容 | ダイレクトボンディング |
|---|---|
| 目的 | 前歯の見た目の改善 |
| 副作用・リスク | 術後疼痛、知覚過敏 |
| 治療期間 | 2回 |
| 費用(税込) | ダイレクトボンディング:50,000円x2本 (適応症例は限られます、ご相談ください) |
診療時間
| 月 | 火 | 水 | 木 | 金 | 土 | 日祝 | |
|---|---|---|---|---|---|---|---|
| 午前 | 休 | 休 | |||||
| 午後 | 休 | 〜17:00 | 休 |
9:00〜13:00 / 14:00〜18:00
(土曜は17:00までの診療)
休診日 木曜・日曜・祝日
電話番号
治療に関するご不安・ご質問など、なぎさ歯科クリニックまでお気軽にお問い合わせください。
お支払いについて
自由診療(メンテナンス代は除く)のみ1万円以上でクレジットカードも使えます。(VISA・JCB・Master)
所在地
〒920-0031 石川県金沢市広岡2-10-6
金沢駅西口より徒歩約8分
金沢駅西口から500m過ぎ、道路沿いに2つ目の交差点(広岡西)を左折。
200m過ぎ左手に医院があります。
※ 駐車場12台完備

