症例3(歯周病治療)

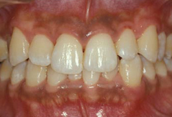
治療前
歯ぐきからの出血と口臭が気になり来院されました。

治療後
歯石除去と正しいブラッシングにより健康な歯ぐきになりました。
クリニックからのお知らせ
金沢・なぎさ歯科クリニックまで
お気軽にお問合せください。
診療時間
| 月 | 火 | 水 | 木 | 金 | 土 | 日祝 | |
|---|---|---|---|---|---|---|---|
| 午前 | 休 | 休 | |||||
| 午後 | 休 | 〜17:00 | 休 |
9:00〜13:00 / 14:00〜18:00
(土曜は17:00までの診療)
休診日 木曜・日曜・祝日
電話番号
治療に関するご不安・ご質問など、なぎさ歯科クリニックまでお気軽にお問い合わせください。
お支払いについて
自由診療(メンテナンス代は除く)のみ1万円以上でクレジットカードも使えます。(VISA・JCB・Master)
所在地
〒920-0031 石川県金沢市広岡2-10-6
金沢駅西口より徒歩約8分
金沢駅西口から500m過ぎ、道路沿いに2つ目の交差点(広岡西)を左折。
200m過ぎ左手に医院があります。
※ 駐車場12台完備

